Skip to content
BrumDentists
News from the best connected Dental School
Dental Research, Dental School and Hospital, Doctoral Students, Impact in dental research, PER/IADR, Public Engagement, Research, School of Dentistry, School staff, University of Birmingham
by amgparrFebruary 21, 20168:36 pmFebruary 21, 2016

Kidney Disease link to Perio

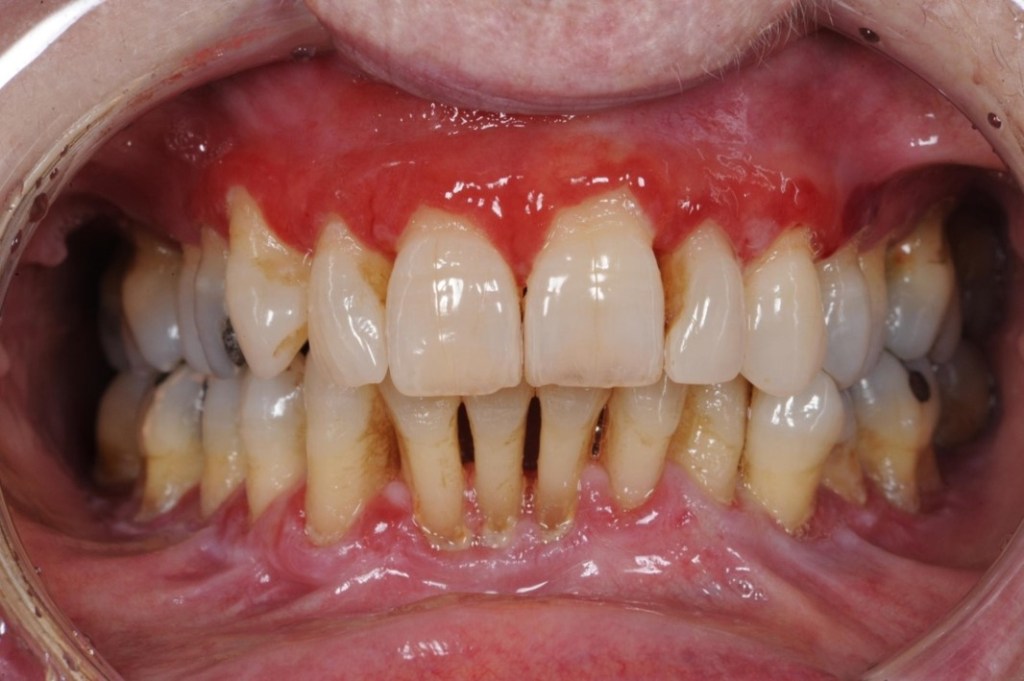
A recent study from the University of Birmingham suggests that Kidney disease patients with gum disease have greater mortality risk.

Severe gum disease increases the risk of death from chronic kidney disease by ten per cent, a new study suggests. Patients with chronic kidney disease (CKD) and periodontitis had a mortality rate of 41 per cent after 10 years, while those with just CKD had a 32 per cent rate. Researchers at the University of Birmingham, Praveen Sharma and Iain Chapple, said the mouth acts as a gateway for bacteria which can easily get into the blood stream through bleeding and sore gums. The study published in the Journal of Clinical Periodontology was based on data from 13,734 participants in the US-based Third National Health and Nutrition Examination Survey (NHANES III).

Perio_severe
Perio_Study_01

 

Share this:

  • Share
  • Share on X (Opens in new window) X
  • Share on Facebook (Opens in new window) Facebook
Like Loading...

Related

Tagged with: Birmingham Dental School dental research Iain Chapple Kidney Disease Periodontal Disease Periodontal Research Group Praveen Sharma School of Dentistry University of Birmingham
Unknown's avatar

amgparr

All posts

1Comment

Add yours
  1. 1
    Dr. Jyoti Sachdeva on May 2, 2016 at 12:22 pm
    Reply

    Dental research work may help patients suffering from different health diseases to eventually maintain their dental health

Leave a comment Cancel reply

Social

  • View @brumdentists’s profile on Twitter

Follow me on Twitter

My Tweets

Search Brumdentists

Previous Years of the School

  • About Brumdentists
  • BDH has got talent
  • Blog – 2006 to date
  • We Stand Together

Archives

  • October 2021
  • September 2021
  • July 2021
  • June 2021
  • May 2021
  • April 2021
  • March 2021
  • February 2021
  • January 2021
  • December 2020
  • June 2020
  • May 2020
  • March 2020
  • February 2020
  • December 2019
  • October 2019
  • August 2019
  • June 2019
  • April 2019
  • March 2019
  • February 2019
  • January 2019
  • October 2018
  • September 2018
  • July 2018
  • June 2018
  • May 2018
  • April 2018
  • March 2018
  • February 2018
  • January 2018
  • December 2017
  • November 2017
  • October 2017
  • September 2017
  • July 2017
  • June 2017
  • May 2017
  • April 2017
  • March 2017
  • February 2017
  • January 2017
  • December 2016
  • November 2016
  • October 2016
  • September 2016
  • July 2016
  • June 2016
  • May 2016
  • April 2016
  • March 2016
  • February 2016
  • January 2016
  • December 2015
  • November 2015
  • October 2015
  • September 2015
  • August 2015
  • July 2015
  • June 2015
  • May 2015
  • April 2015
  • March 2015
  • February 2015
  • January 2015
  • December 2014
  • November 2014
  • October 2014
  • September 2014
  • July 2014
  • June 2014
  • May 2014
  • April 2014
  • March 2014
  • February 2014
  • January 2014
  • December 2013
  • November 2013
  • October 2013
  • September 2013
  • August 2013
  • July 2013
  • June 2013
  • May 2013
  • April 2013
  • March 2013
  • February 2013
  • January 2013
  • December 2012
  • November 2012
  • October 2012
  • September 2012
  • June 2012
Blog at WordPress.com.

Begin typing your search above and press return to search. Press Esc to cancel.

  • Comment
  • Reblog
  • Subscribe Subscribed
    • BrumDentists
    • Join 111 other subscribers
    • Already have a WordPress.com account? Log in now.
    • BrumDentists
    • Subscribe Subscribed
    • Sign up
    • Log in
    • Copy shortlink
    • Report this content
    • View post in Reader
    • Manage subscriptions
    • Collapse this bar

Loading Comments...

    %d