Come and study postgraduate dentistry at Birmingham with our distance learning courses. You too could be one of the many postgraduate students who have found success undertaking our degrees. We offer them in several subjects […]
Come and study postgraduate dentistry at Birmingham with our distance learning courses. You too could be one of the many postgraduate students who have found success undertaking our degrees. We offer them in several subjects […]
Four of our postgraduate researchers presented their work at the Oral Microbiology and Immunology Group (OMIG) symposium 2019 in Newcastle. Sophie Mountcastle and Hannah Serrage were in the 15 min presentation competition, which saw 10 […]
Upen Patel gained graduated with his PhD and there was someone else there who was the star attraction. Priyana Patel thought it would be a good idea to upstage Dad on the day. Dr Patel’s […]
Isabel Lopez-Oliva who is undertaking a PhD reports on her visit to Ohio State University. “I had the pleasure to spend 3 weeks in June in Ohio State University in Dr Purnima Kumar’s lab where […]
The annual Festival of Graduate Research took place at the Medical school with poster and lecture presentations. There was a good representation from Dentistry with Ilaria Chicca, (PhD 4th year) who presented her research on […]
Adapted from the University of Birmingham web site Research into the science behind ultrasonic scalers, used by dental professionals to remove built up plaque, has identified that the formation of tiny bubbles around the head is […]
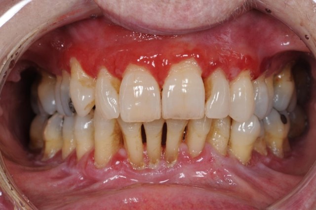
A recent study from the University of Birmingham suggests that Kidney disease patients with gum disease have greater mortality risk. Severe gum disease increases the risk of death from chronic kidney disease by ten per […]
Recently I went to the opening of the Westmere Postgraduate facility and was very impressed with what the University have done there. The Westmere house is beautifully restored and provides a hub for PG students […]
Isabel Lopez-Oliva was successful on achieving the MDS PGR Overseas Work Experience Scholarship to go 3 weeks in February to Ohio State University, College of Dentistry, Division of Periodontology. Isabel’s PhD investigates the biological relationship […]
Nina Vyas came second in a University-wide contest submitting a video into a Storytelling Researcher video competition. Her entry was based around her research on Cavitation bubbles produced by ultrasonic scalers. Her video was judged by the […]